남의 글을 잘도 퍼가서...이딴 식으로 유사문서 공격을 해서 블로그를 저품질로 만드나?
http://www.ctime.ca/WebPage.aspx?pageid=30&id=77038&categorygroupid=1&categoryid=2&page=1
사고 후 기억이 돌아온 지 딱 1년 되는 날입니다.
2017년 4월 4일 자정에 가까운 시각 신월동 신영시장 골목에서 담배 피우면서 걷던 중 맞은편에서 헤드라이트 불빛이 빠르게 다가 옴을 느끼고 안전한 곳으로 피한 기억만 나고... 4월 10일까지의 기억이 없을 정도로 사경을 헤매다가 정신이 돌아온 지 딱 1년이 되는 밤이네요.
정신이 돌아왔을 때 제 손과 발은 침대에 묶여 있었어요.
입에는 기도삽관이 되어 있어서 말을 할 수가 없었죠.

전 왜 제가 묶여 있는지 알 수 없었고 마약성 진통제 탓에 침대 프레임 위로 작은 소인국 군인들이 총 들고 뛰어다니고 넛잡의 다람쥐 캐릭터가 걸터앉아서 저한테 말을 거는 섬망을 보면서...
"저건 환상인데... 내가 정상은 아니구나... 근데 답답해"
라고 느끼면서 깨어났어요.
제 기억은 4월 10일부 터지만... 사고로 병원에 실려가서도 저는 할 말 다하고 헛소리도 더하고 있었다더군요.
사고 다다음날 친구랑 약속이 있었는데... 정신이 들자마자 가족들한테 그 친구한테 약속 못 지킬 것 같다고 연락 좀 해달라는 소리부터 했다더군요.
동생한테 이렇게 누워있으면 욕창 생길 수도 있으니 마트에 가서 차량용 매쉬 방석 같은 거 두어 개 사다가 좀 깔아 달라고 헛소리 해서 경황이 없던 동생은 형 부탁이라고 그걸 또 사다 놨더군요. ㅋ
저는 기억이 안 납니다. ㅋ
가해자는 여자 친구의 아우디 차를 빌린 20대 초반 청년인데... 사고 후 지금까지 단 한 번도 사과하러 온 적도 없고 제가 사경을 헤멜 때 제 동생에게 문자 한번 보낸 게 다더군요.
경찰서에서 사고 당시 인근 상가 cctv에 찍힌 사고 장면을 보고 온 동생이 사고 당시 상황을 다음과 같이 설명해 주더군요.
혼자 막 즐겁게 담배 피우면서 걷다가 갑자기 뭘 보고 당황하더니 시장 가게에 물건 쌓아 놓은 거 뒤로 허둥지둥 숨더랍니다.
그러고 몇 초 후 차량이 정확하게 그 짐을 들이받더랍니다.
가해자가 차에서 내려서 차 파손된 거만 살펴보고 어슬렁어슬렁 거리는데 인근에 있던 목격자들이 몰려와서 살펴보다가 짐 뒤쪽에 깔려 있던 저를 발견했더랍니다.
가해자는 시속 30km 구간에서 75~80km로 과속 질주하다가 사거리를 건너면서 운전미숙으로 주차되어 있던 오토바이크를 추돌 후 에어백이 터지고 당황한 상태에서 앞이 보이지 않자 브레이크를 밟는다는 것이 액셀을 밟은 채로 하필이면 제가 그 장면을 보고 위험하다 싶어서 피한 짐을 들이받았던 것이죠.

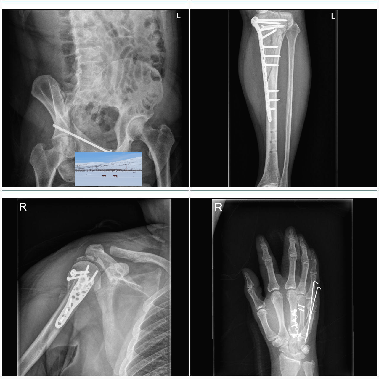
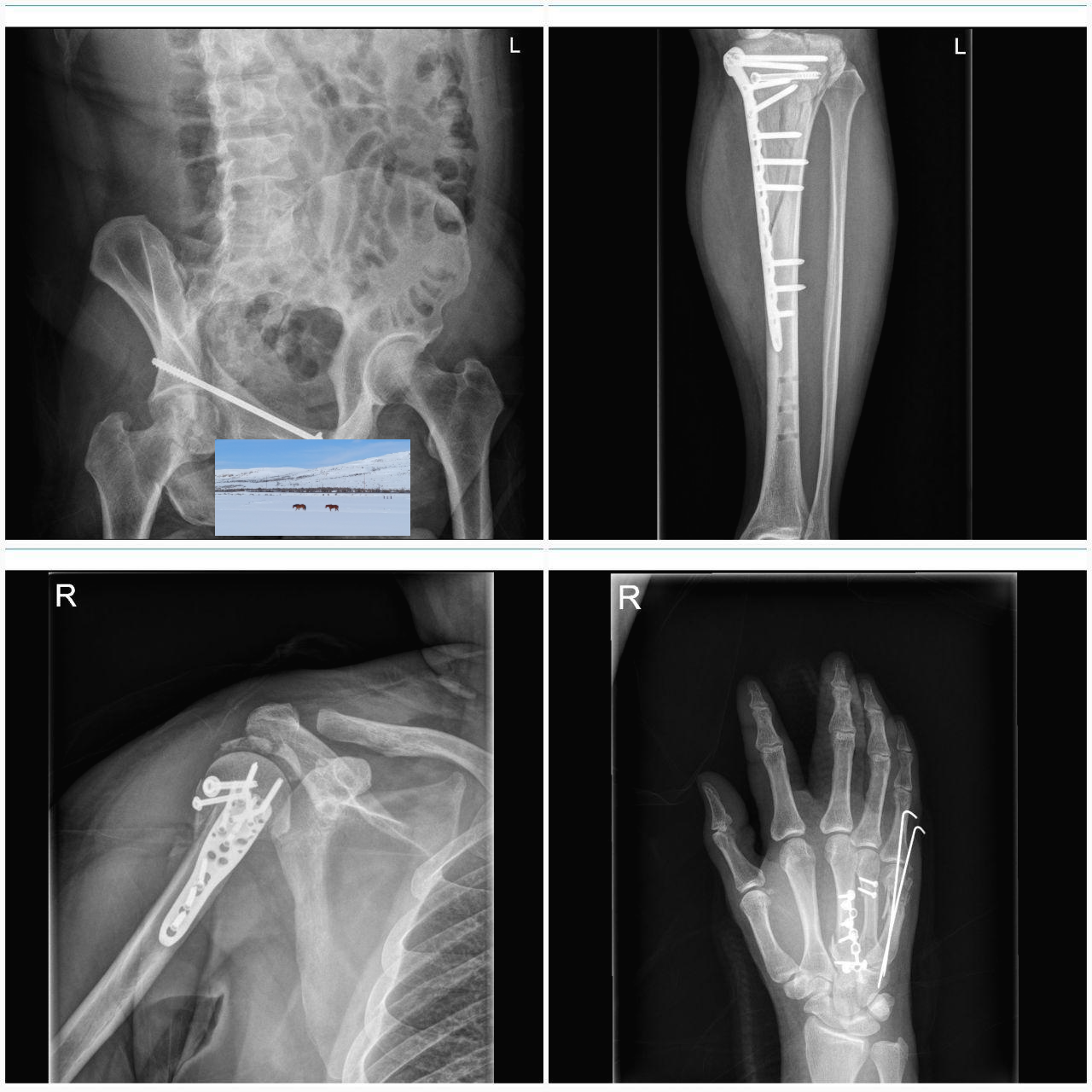
왼쪽 무릎 아래가 작살나서 핀을 박았어요.
골반이 두 군데가 깨졌어요.
어깨 절구가 산산조각이 났고 팔뼈도 부러졌어요.
코뼈와 안와골절이 있었고...
손등뼈와 손가락 골절도 있었어요.

병원에 119구급차로 실려갔을 때 집에서 가까운 이대목동병원으로 실려갔어요.
아내가 인하대병원 응급중환자실 근무 중이었는데 나이트 근무 중에 소식을 듣고 달려왔어요.
아내의 병원으로 전원 시키려 했지만...
아내 병원 의사들이 이송 중 사망한다고 말렸다는군요.
아내가 이대병원에서 저를 보니 어깨가 풍선만큼 부어 있는데도 어깨 사진도 안 찍고 골반 골절 여부는 장기 손상 확인차 찍은 복부 엑스레이에서 얻어걸렸고...
왼쪽 무릎 아래는 걸레가 되어서 퉁퉁 부어 있는데 왼쪽 발에다 수혈하면서 혈압이 안 잡힌다고 우왕좌왕하고 있더랍니다.
아내가 왼쪽 가슴 쪽에 라인 잡은데로 수혈하라고 부탁하니까 그제야 "의료진이세요?" 이러면서 수혈해서 혈압을 잡더랍니다.
병원 도착 후 한참이 지나서 응급수술로 뼈들을 대충 맞추고 제 기억이 없는 동안에 다시 다리 부기가 빠진 후 다시 수술을 해서 핀을 박았다더군요.
제 기억이 없는 동안의 2번의 수술.
기억이 돌아오고 일주일쯤 있다가 다시 골반뼈 하나 못 맞춘 것과 코뼈와 광대뼈, 안와 골절 수술을 받았어요.
눈 밑에 매쉬망 같은 것을 넣는 수술이라더군요.
고난도 성형수술이라 이 수술비만 3천만 원이 넘는 수술이었다더군요.
뭐 보험사에서 낼 돈이긴 하지만...
진짜인지 겁주려고 하는 것인진 모르겠어요.
쌀알도 씹으면 안 된다고 해서 이대목동에 입원해 있던 한 달 동안은 미음만 먹이더군요.
덕분에 강제 다이어트를 했습니다.
사진 보시면 아시겠지만... 집돼지가 멧돼지가 되었습니다.
먹는 게 적어서인지 골반을 다쳐서인지 이대 목동에서는 똥을 3~4번밖에 못 눴어요.
극심한 변비였죠.
10일에 한번 정도?
이대에서는 간병인이 짱개였는데요.
더럽기가 더럽기가... 아허... 변을 못 누면 간병인이 관장을 도와주는데요.
관장할 때 비누로 똥꼬를... 그 비누로 제 얼굴을... 씻기기도.. 아 c 개ㅆㄴ 길 가다 마주치면 똥 묻은 비누를 집어던지고 싶어요.
이대에 있는 동안 관리가 잘못되었는지, 더러운 짱개 간병인 탓인지 1달 넘게 고열에 시달렸습니다.
병원균에 감염된 것이죠.
아내가 일하는 병원으로 옮겨서 아내 후배인 감염내과 교수가 정밀 진단한 결과 3가지 균에 감염됐다더군요.
병원에서 감염된 것이죠. ㅡㅡ.
덕분에 이대목동병원에 치가 떨립니다.
이대에서는 한 달 동안 미음만 먹였는데... 아내의 병원에서는 그런 수술로 미음만 먹이지 않는다며 죽 정도 먹어도 되고 한 달이나 지났으니 밥 먹어도 된다고 해서... 천국에 온 느낌이었습니다.
살이 다시 찌기 시작했습니다 ㅜㅜ. 윌컴 투 헬.
이대병원에서의 재활은 틸트 침대에 묶어서 세우는 게 전부였는데...
아내 병원에서는 틸트에 더해서 물리치료사 선생님들이 붙어서 어깨 운동부터 나중엔 걷기까지...
작업치료실에서는 어여쁜 물리치료사 선생님이 1대 1로 붙어서 웃으면서 지옥을 보여주는 주먹 쥐기...

철사장을 방불케 하는 파라핀 치료...
6월...
맨날 누워서 물리치료실에 실려가던 제가 휠체어에 앉아서 다니기 시작했습니다.
6월 말... 휠체어도 버겁던 제가...
틸트에서도 간신히 서던 제가 제 힘으로 평행봉을 잡고 걷기 시작했습니다.
7월 초 지팡이를 짚고 걸을 수 있게 되었습니다.
7월 중순에 퇴원했어요.
그렇게 많이 다쳤지만 자동차보험으로 종합병원에 입원해 있을 수 있는 기간은 3 달이라나...
2차 병원이나 재활병원으로 입원해 있을 수는 있지만...
그냥 통원을 하기로 했어요.
아내가 일하랴 애보랴 저 간병하랴...
아 간병인이 있긴 했지만...
아내가 안 들여다볼 수는 없었지요.
그리고... 4월 17일...
다시 재수술을 받기 위해 16일에 입원합니다.
왼쪽 무릎인대 4개 중에 3개가 끊어져 있거든요.
핀이 박혀 있어서 인대 재건을 할 수가 없었어요.
그런데...
이번에도 재건술을 하진 못해요.
다리뼈가 잘못 붙어서 다시 뼈를 잘라서 각도를 맞춘 뒤에 핀을 다시 박는 수술과 어깨와 손등의 핀만 제거합니다.
이번에 잘라서 붙이는 뼈가 다시 붙을 때까지 기다려서 1년 반 뒤에 핀을 떼고 인대를 재건하는 수술이 한 번 더 남았네요.
가해자의 처벌은... 기소중지 중입니다.
사람이 이렇기 많이 다쳤어도 가해자에게 형사처벌이 없다니 어처구니가 없습니다.
가해자가 형사처벌을 받으려면 11대 중과실에 해당해야만 한답니다.
시장 골목에서 사고를 냈지만...
시장 골목길의 최고속도가 60km랍니다.
퍼헐...
30km 제한속도 표지판이 없으면 무조건 시내 도로는 60km라 시속 75km로 달린 가해자는 과속이 아니랍니다.
자세한 내용은 제 과거 글에...
제가 이렇게 많이 다쳤는데도 중상해에 의한 중과실이 불투명합니다.
12대 중과실에서 말하는 중상해는 뚝배기 정도는 깨져서 반신불수는 되어야 나오는 16주 이상의 진단이 나와야 중상해랍니다.
골절은 머리뼈 빼고 온몸의 뼈가 다 부러져도 무조건 12주랍니다.
때문에 저의 모든 치료가 끝나서 장애가 남아야만 중상해로 11대 중과실에 해당하는 형사처벌이 가능하답니다.
그럼 관계로 현재 가해자는 기소중지 상태로 자유를 만끽하고 있습니다.
도대체 12대 중과실 형사합의라는 것은 어떤 사람들이 하는 것인지 궁금하네요.
남의 나라 얘기 같아요.
절대 형사합의는 해 줄 생각도 없지만... 안 해줘도 사실 교통사고 가해자가 구속되는 일도 없는 나라가 대한민국이잖아요.
끽해야 벌금이고 형사합의 안돼도 법원에 공탁금만 내면 땡이니까... 돈 있는 사람들은 피해자 찾아가서 굽신거리느니 공탁금 내고 땡치는게 낫나 봅니다.
'생활정보잡다구리' 카테고리의 다른 글
| 우편번호 5자리 검색 도로명주소전환 신주소 구주소 변환하기 (0) | 2021.08.04 |
|---|---|
| 눈에 정액이 들어가면... feat 조보아 움짤 (0) | 2019.11.02 |
| 구 우편번호 6자리 검색 방법 / 변환 (0) | 2018.06.25 |
| 잠실 석촌호수 로사나 부띠끄 호텔 뷔페...비추 (0) | 2016.02.05 |
| 내방의품격 칼슘두유 윤소연 pd 셀프리모델링 목공 기술자 카페 소공인, 인기통 주소, 헤링본 뜻. 포슬린 타일 시공가격 (포세린타일) 윤현상재, 을지로 로하스조명,북유럽인테리어가구 (0) | 2015.12.31 |